Můžeme pracovat s cookies,
ať víme, jak to na našem webu žije?

Malárie u ptáků

25.04.2026

2026-04-25-malarie-Image11.jpg

Malárie je u nás v širokém povědomí zafixována ve spojení s exotickými končinami, ale ve skutečnosti je to aktuální téma i ve střední Evropě. Zvláště ptáci jsou překvapivě častými hostiteli krevních parazitů, kteří malárii způsobují.

Původci malárie jsou prvoci, tedy organismy, jejichž tělo tvoří jen jediná buňka. Žijí jich u nás desítky druhů, které se řadí do rodů Haemoproteus, Plasmodium a Leucocytozoon. Přísně vzato způsobuje pravou malárii pouze rod Plasmodium, zatímco onemocnění způsobená jinými druhy označujeme jako „onemocnění podobná malárii“.

Životní cyklus těchto prvoků je poměrně komplikovaný a zahrnuje více hostitelů. Důležité je to, že jedním z hostitelů je krevsající hmyz, který tak slouží jako přenašeč. Při sání krve může dojít k přenosu parazitických prvoků na ptáky. Většina infekcí ptáků probíhá bezpříznakově, onemocní a uhyne jen menší počet nakažených ptáků.

Největší význam má u nás malárie pro volně žijící ptáky. V jedné studii bylo prokázáno, že až 18 % našich volně žijících ptáků je hostiteli některého z krevních prvoků, přičemž převažují draví ptáci včetně sov, kteří jsou napadáni zejména prvokem rodu Leucocytozoon. Pravá malárie způsobená plasmodiemi je běžnější u pěvců, datlů a bažantů. U exotických ptáků chovaných v zajetí je incidence krevních prvoků pouze zhruba 8 %. Častěji než papoušci bývají postiženi pěvci. Zvláštní případ tvoří ptáci importovaní z volné přírody nebo z chovů v tropických zemích, kde lze očekávat vyšší promořenost krevními parazity.

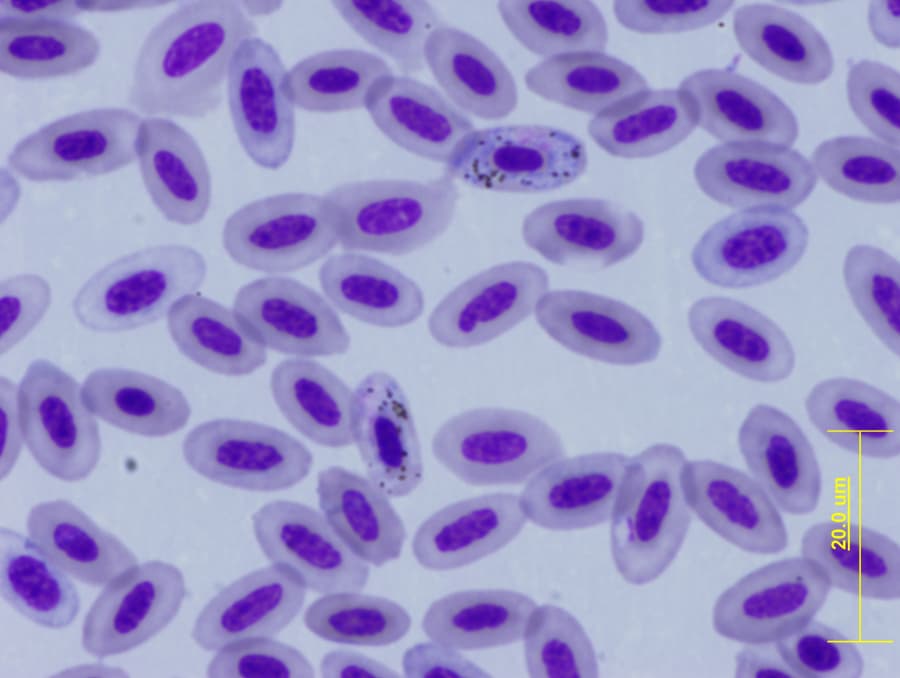
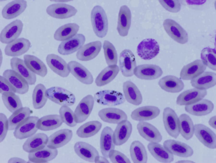
Pokud se u postižených jedinců malárie či onemocnění podobné malárii rozvine, nelze diagnózu určit jen podle klinických příznaků. Ptáci jsou apatičtí, slabí a načepýření. V důsledku toho, že během svého vývoje napadají parazitičtí prvoci i vnitřní orgány, mohou ptáci trpět poruchami jater a ledvin. Moč ptáků může být růžově nebo hnědě zbarvená kvůli příměsi hemoglobinu, který se vylučuje z těla při rozpadu většího množství červených krvinek, které paraziti poškozují.  

Pro diagnózu je nutné vyšetření krve, které odhalí červené krvinky napadené některým z krevních prvoků. Paraziti rodu Leucocytozoon napadají i bílé krvinky. Při pitvě lze pozorovat zvětšení jater a sleziny. Histopatologickým vyšetřením se zjistí vývojová stadia parazitů v játrech a dalších vnitřních orgánech.

Je nutné zdůraznit, že malárie ptáků není přenosná na člověka. Určitě tedy nehrozí, že by se člověk nakazil malárií od našich volně žijících ptáků. Brání tomu druhová specifita krevních prvoků, kdy ptačí původci nejsou schopni života v savčích krvinkách. Malárie je tedy pro člověka aktuální pouze tehdy, pokud cestuje do tropických oblastí s výskytem lidské malárie, převážně v Africe.

2026-04-25-malarie-Image2.jpg

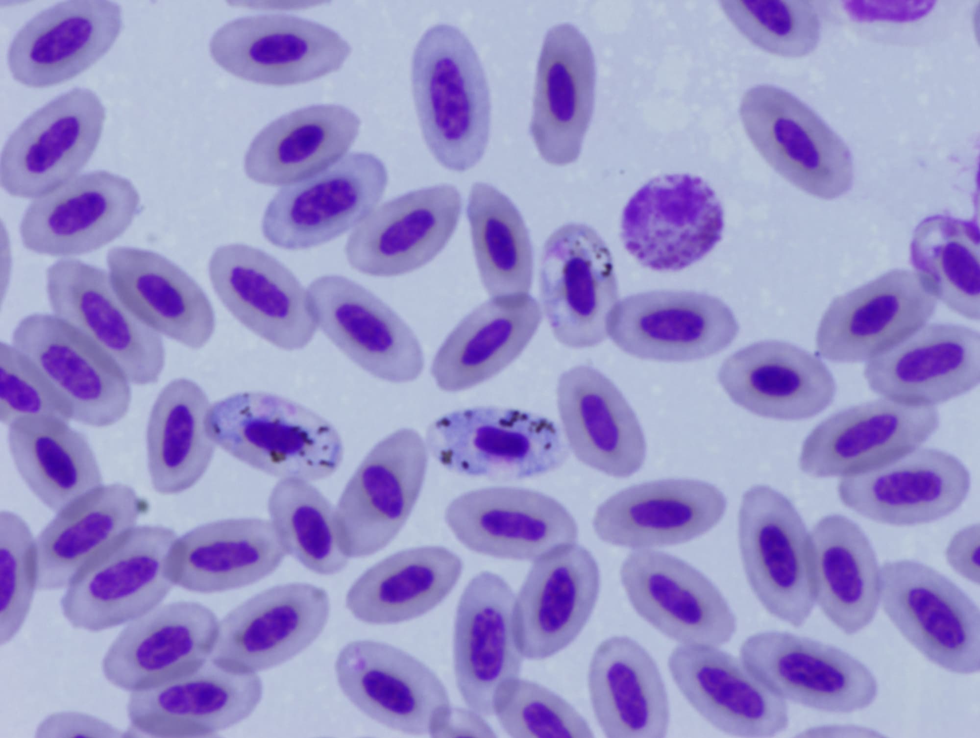
Obrázek: Haemoproteus v červených krvinkách ary zelenokřídlé.

Autor: MVDr. Veronika Grymová

Zpět na výpis
Inzerce

Inzerce

Seznam veterinárních lékařů

Seznam veterinárních lékařů

Registr zvířat

Registr petpasů

Časté dotazy

Časté dotazy

Úřední deska

Falešné razítko – MVDr. Vítězslav Novák

Zveřejněno: 24.04.2026
Datum stažení: 24.10.2026

Pozvánka na konání okresního shromáždění OS KVL ČR Liberec a Jablonec nad Nisou, 22.05.2026

Zveřejněno: 21.04.2026
Datum stažení: 23.05.2026

Pozvánka na konání okresního shromáždění OS KVL ČR Brno-venkov, 27.04.2026

Zveřejněno: 01.04.2026
Datum stažení: 28.04.2026

Falešné razítko – MVDr. Jiří Langer

Zveřejněno: 23.02.2026
Datum stažení: 23.08.2026

Upozornění na falešné veterinární potvrzení

Zveřejněno: 22.01.2026
Datum stažení: 22.07.2026
Úřední deska

Kalendář akcí

Právě chroustám data, abych mohl zobrazit kalendář. Chvilku prosím počkejte...
Nejbližší akce
24.04. - 25.04.
Understanding ophthalmology 24.04. 8:00 - 25.04.2026 16:00
Všechny akce